Front Tooth
Treatment
Treatment
앞니 재건 클리닉
손상된 앞니의 형태와 기능 회복
자연스러운 자연치아 본연의 아름다움
자연스러운 자연치아 본연의 아름다움
1.0 ~ 2.0mm의 치아삭제 필요
0.5 ~ 1mm의 치아삭제 필요
0.2mm이내의 최소삭제
BEFORE AFTER
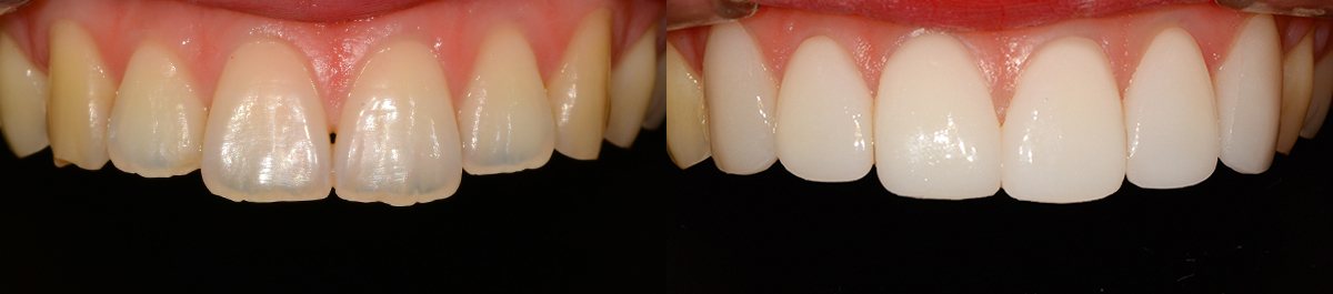
[CASE 01] 치아가 깨진 경우
BEFORE AFTER
[CASE 02] 미용적 개선이 필요한 경우
BEFORE AFTER
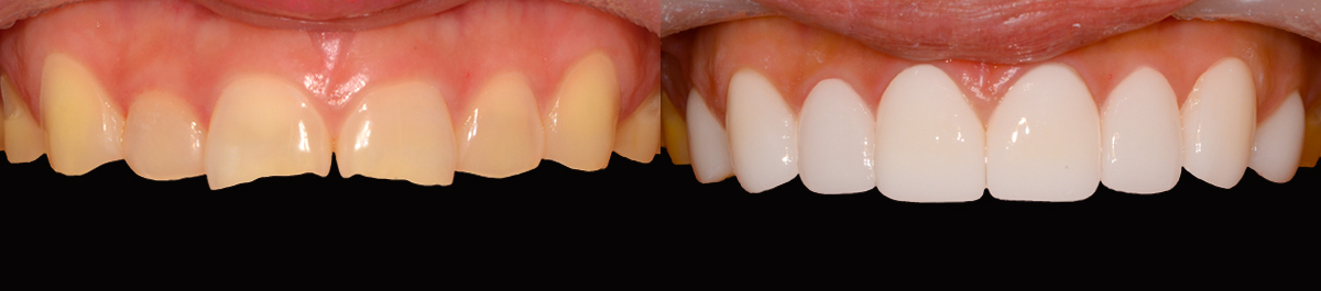
[CASE 03] 충치로 인한 손상이 있는 경우
BEFORE AFTER
[CASE 04] 치아가 불규칙한 경우



































