Veneer Design
3Hours에 상주하는 기공사의 모든 노하우


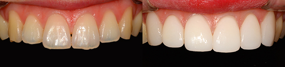
BEFORE AFTER
[CASE 01] 깨지고 누런 치아
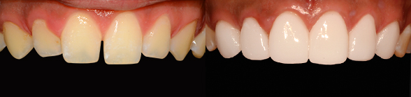
BEFORE AFTER
[CASE 02] 깨진 치아
BEFORE AFTER
[CASE 03] 누런 치아
BEFORE AFTER
[CASE 04] 반상치
BEFORE AFTER
[CASE 05] 벌어지고 상한 치아
BEFORE AFTER
[CASE 06] 벌어진 치아
BEFORE AFTER
[CASE 07] 불규칙한 치아
BEFORE AFTER
[CASE 08] 심한 충치
BEFORE AFTER
[CASE 09] 충치 및 벌어진 치아
BEFORE AFTER
[CASE 10] 치아 크기 정렬



































